想要具体了解做好种植牙一共的时间是多久?
点击【在线咨询】直接问医生!方便!快捷!种植牙手术,大家或关心价钱,或关心水平,当然也会关心时间,时间太久,愿意做手术的人肯定少,何况口腔一直张着也会不舒服,虽然做的时候可能感觉不到。

做好种植牙一共的时间是多久?
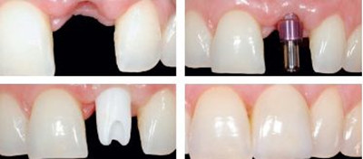
在进行种植牙手术前,要进行检查,检查有口腔疾病,一般是要治好后再做的,接下来是植入种植体,做好种植牙一共的时间是多久?植入一枚种植体的时间约为10-30分钟。
常用的种植系统有一期手术种植体和二期手术种植体。
一期性种植系统基台与种植体为一个直接相连的整体,基台直接伸入口内
点这里,直接预约医生!方便快捷!
二次性种植基台与种植体不是一个预成的整体,而是待种植体与其周围骨床直接愈合后,再切开粘骨膜行基台连接术。
两者修复时间有必然差异。
一次性柱状种植较简单省事,通过一次手术便可结束,拆线后即可用暂时修复体修复,种植体稳定3个月后可取模,再过几周可结束恒久修复。一次手术结束后不要修复,等8周后种植体基本稳定可做一暂时修复体,等6个月之后再做永久修复体。
第一期手术植入种植体后3~6个月,上颌5~6个月,下颌3~4个月,待种植体骨界面愈合后,种植体已可胜任支持修复体的功能,这时行二期手术,接出基台。再过2周,可以开始修复治疗,并按期复查。这种种植方法因其效果好,被广泛应用。愈合过程不管哪类种植体都要3~6个月,然后开始修复,6~18个月为骨改建过程,以后进入稳定状态,但患者要按期复查,以保证有问题及时处理。
如果您还有什么疑问的话,欢迎咨询在线医生,医生会为您提供详细的解答,并给您合理的建议,欢迎咨询预约!
在线咨询(免费咨询)在线近距离