想要具体了解福州牙的效果怎样?
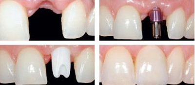
点击【在线咨询】直接问医生!方便!快捷!牙种植按照植入时机分为延期种植牙和牙,目前临床较普遍应用的是延期种植牙,它是拔牙创愈合3-6个月以后,在健康的牙槽嵴上植入种植体,然后经过3-6个月的骨融合期再进行义齿修复。牙是指拔牙后同期植入种植体,即在新鲜的拔牙创内立即植入种植体,大量实验和临床研究证实和延期种植一样可以获得成功的骨结合。
直接与医院在线医师一对一通话,方便!快捷!了解详情就医指导。

医生说,牙修复时间短,咀嚼功能强,稳固性好,舒适方便,颜色美观、采用牙修复,医生可以根据患者的脸型、其他牙齿的形状与颜色制作牙冠,达到整体协调和美观的佳效果。
牙缩短了疗程,减少了患者的痛苦。与传统种植牙一样,牙也是依靠自身的人工牙根进行修复,不用磨旁边的健康牙齿,对牙齿没有任何伤害。
有效的减少牙槽骨的生理性吸收,避免了由此造成的种植区骨量不足而进行大的植骨或重建。
点这里,直接预约医生!方便快捷!
牙的人工牙根牙槽骨紧密结合,像真牙一样扎根在口腔里,具有很强的固位力与稳定性;此外,由于不使用传统镶牙的卡环或牙套,因此,患者口腔没有异物感,非常舒适、方便,而且有利于保持口腔的清洁卫生。
牙有利于将种植体植入理想的解剖位置,使其更符合生物力学要求。有利于保持牙龈的形态,获得理想的美学效果。
种植牙系统的优点:微创、微痛、即刻
种植牙系统是引自德国的先进技术,完美融合的微创、微痛、即刻三大核心技术,50年来成为种植系统的 业界领袖和行业标准,种上的牙齿如同新长出的真牙,能真实感知冷、热、酸、甜、香、辣,成为JCI国际医疗机构 认证的行业典范。
贝臣齿科的牙术采用了数字全息诊技术、 从检测、设置到牙齿成形,全程采用数字成像及设计技术,设计出较好的牙齿种植方案,从而为种植牙寻找到较好的种植位,避免了传统种植技术“盲视”操作所带 来的损伤。牙齿种植过程中安全、快速、精准、真正微创,同时可以保留大数量的软组织和骨骼,有效避免了以后的牙槽骨重吸收造成种植体受力减轻,能促进牙龈健康,尤其适用于那些希望获得较好外观效果的种植牙患者。
在线咨询(免费咨询)在线近距离