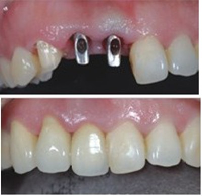
想要具体了解哪些人适合做种植牙?
点击【在线咨询】直接问医生!方便!快捷!种植牙已成为当今缺失牙很好的修复方式,医生提醒:纵然种植牙有诸多优势,但并非所有缺牙者都具备种植牙的“土壤”。

【种植牙应具备的局部条件】
1、缺失牙齿;
2、戴用传统假牙有困难、无法咀嚼食物者;
3、对假牙的美观、功能有特殊要求者、或末端缺失不能行传统固定修复者。
【种植牙对全身状况要求】
1、全身健康情况良好,骨骼和牙齿发育已定型者的成年人。
2、颌骨、牙槽骨手术及外伤后至少6个月以上,拔牙后至少3个月之后,骨缺损已恢复,种植床骨形态及质量良好者。
3、口腔软组织无明显炎症、病损者。
4、无各类脏器的器质性疾病和骨质疏松症。
一般种植牙手术是将种植体植入患者牙槽骨中之后,需要六周左右的时间来愈合,而仿生种植体能激发早期细胞活性,促进骨生长和再生,将愈合时间大大缩短,仅需15天左右的时间。仿生种植体的适用范围更广,其适应症不仅包括单颗、多颗、全口缺牙患者,还包括糖尿病患者、骨质疏松症患者或烟民等。
为充分保证种植患者的安全和种植手术的成功,医师对患者高度负责,在为患者做种植计划之前都会客观全面考量患者的身体状况,绝不盲目种植。比如有严重心血管疾病(心肌梗塞、先天性心脏病)的患者、软骨病、严重的骨质疏松患者等,北京维尔口腔不会盲目为其实施种植手术,只有待患者身体条件允许的情况下才会实施种植。而且选择种植牙一定要选择正规的医院。
如果您还有什么疑问的话,欢迎咨询在线医生,医生会为您提供详细的解答,并给您合理的建议,欢迎咨询预约!
在线咨询(免费咨询)在线近距离