福州烤瓷牙牙齿矫正哪家医院好
来源:贝臣齿科
2018-08-16 16:34
进入答疑区
  烤瓷牙作为传统牙齿矫正方法,拥有一大批“粉丝”,随着网络热词“看脸吃饭”“颜值高”等的出现,为了改变自己的“颜”,使越来越多的人加入牙齿矫正队列来,对于福州眼花缭乱的口腔医院,大部分消费者的心理在考量,福州烤瓷牙牙齿矫正到底哪家好?口腔医生推荐--福州贝臣连锁齿科! 烤瓷牙在福州需要多少钱?直接点击问价格
 
 
  烤瓷牙牙齿矫正选贝臣  品牌有保障
 
 
  贝臣齿科连锁选址全国各大城市CBD商务核心区的地标性建筑,全力打造五星级牙科诊疗连锁机构,专注服务于各大城市社会精英以及广大爱牙人士。为客户提供牙齿种植、美容修复、牙齿正畸、牙齿美白、治疗等服务。点击可与在线咨询医生进行面对面对话,让在线医生为您设计方案

 

 
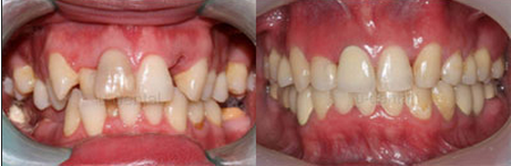
  德国生态烤瓷牙,告别死板烤瓷牙,令烤瓷牙“活”起来
 
 
  自然通透:
 
 
  德国45色vita智能比色,色泽自然,通透不反白,晶莹亮丽。
 
 
  精确密合:
 
 
  口腔全景机全方位扫描,智能精细设计,少磨牙量保障密合效果。
 
 
  坚固耐用:
 
 
  采用仿生材料,无异物感,舒适耐磨,坚固抗压,耐用超过20年。点击可直接在线免费预约医生
 
 
  流程:
 
 
  通过CDA、FDA、SFDA认证,历经18大环节51道工序,优质的治疗。

 
  标准消毒流程 杜绝口腔感染
 
 
  3D 数字动态影像
 
 
  3D数字动态影像在牙科领域完美运用,高精度扫描,为您展现细节之美,打造精致美观、高度密合、真正完美的修复体。
 
 
  西诺德综合治疗台
 
 
  贝臣齿科采用诊疗标准,“一医一助一室一机一盘一针一消毒”坚决贯彻“七个一”保障。用德国MELAG消毒流程,所有医疗设施,小到每根车针,大到整间诊室,贝臣齿科都规定了严格的消毒程序,为您提供私密的诊疗环境。 还有不明白的,点击免费咨询,或者拨打24小时牙齿健康热线0591-88681777咨询,贝臣齿科医生为您解答!

温馨提示:
病情因人而异,以上信息仅供参考,请您一定到专业正规医院,接受医生的诊断与治疗。贝臣齿科提供网络咨询预约平台,可以向在线人员咨询您的情况。

在线咨询预约医生

在线咨询(向医生医生免费咨询)名医在线近距离