想要具体了解福州自锁托槽牙齿矫正怎么样?
点击【在线询价】直接问医生!方便!快捷!牙齿拥挤矫正除了牙齿健康更为了美观。牙齿畸形不仅严重破坏人的容貌和形象,还会使口腔健康和身心健康严重受损。牙齿矫正的多样选择,使得很多人自锁托槽矫正,从而告别了牙齿畸形的苦恼。那么,什么是自锁托槽矫正?

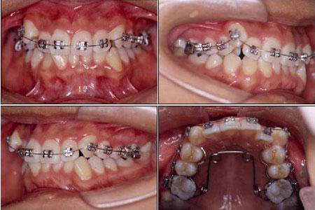
贝臣齿科医生指出:自锁托槽矫正是近年出现的一种新,给固定正畸带来了革命性的改变。让正畸变得更方便。它的主要优点是可以大大降低钢丝与托槽之间的摩擦阻力。因为它在托槽上加了一道门,可以直接将正畸钢丝锁闭在托槽的槽沟内,免除了结扎钢丝或橡皮圈对正畸钢丝的捆绑。
点击免费咨询,或者拨打24小时牙齿健康热线0591-88681777咨询,贝臣齿科医生为您解答!
一、延长复诊时间间隔。传统固定正畸的复诊间隔为4周左右,也就是说病人每月需要到医院调整一次。而使用自锁托槽矫治的复诊间隔,可以延长到6~8周,也就是说病人每两个月左右到医院调整一次即可。
二、免除拔牙。由于自锁托槽的摩擦力极低,牙齿的移动更为容易,所以一些以往需要拔牙治疗的病人现在可以不拔牙治疗。
三、舒适且痛苦小。在柔和的轻力水下平实现牙齿的移动,患者不易感到疼痛及不适,无需结扎,避免了结扎丝末端对软组织的损伤。舒适柔和的矫治力,大大减轻了矫治过程中的痛苦。
四、高效、疗程短。减少了弓丝与托槽的摩擦力,有利于矫治牙的移动,可缩短疗程,提前完成正畸治疗;
五、卫生又稳定。没有结扎丝等附件,更有利于口腔清洁,有利于保护牙周组织健康,矫治效果更稳定;
贝臣齿科温馨提示:求美者千万不能贪图一时的便宜,选择小的美容院,不但不能保证牙齿矫正的质量和效果,还会引发严重的口腔疾病。这样您不仅要多花更多的费用,还让您的身体承受更大的痛苦。因此,为了您的健康和美丽,一定要选择的齿科机构。
做牙齿矫正哪家医院好?
贝臣齿科拥有完善的齿科诊疗和设备,德国精工种植牙、德国四维隐形矫正、德国仿生美容冠、德国炫彩美白、德国显微超薄贴面、德国树脂充填、德国射频牙周治疗等核心项目;在设备上拥有德国西诺德全套牙科系统,普兰梅卡全景内窥镜系统、器械与消毒系统、进口麻醉系统等;在材料上拥有德国费亚丹、德国贝格、瑞典诺贝尔、瑞士ITI、美国3I等较领先材料,为广大爱牙人士提供更多人性化选择。

贝臣齿科温馨提示:牙齿畸形一定要选择正确的治疗方式和的口腔机构,只有这样才能拥有一副整齐洁白的牙齿。如果您有其他关于牙齿修复、美容冠的相关问题,请点击在线咨询与在线医生联系。贝臣齿科从医生要求、开展、服务流程、效果监测等环节全部依照齿科高标准设定,给予您高规格的齿科诊疗服务。
还有不明白的,点击免费咨询,或者拨打24小时贝臣美牙热线0591-88681777咨询,贝臣齿科医生为您解答!
在线咨询(向医生医生免费咨询)名医在线近距离