虫牙(学名龋齿)在生活中常见不过了,大多发生在儿童的口腔中,但也不代表成年人、老年人没有,虫牙造成的疼痛总是让人无法忍受。虫牙是一种发展比较慢的疾病,当出现剧烈的疼痛感的时候,往往就已经是比较严重了,已经出现虫牙洞了。不少人觉得如果出现虫牙洞而且牙开始疼了的话,那就是要拔掉这颗牙了。这种想法是正确的吗?这是治疗虫牙的好办法吗?还是听听贝臣齿科医师是怎么说的吧。
点击免费咨询,或者拨打24小时牙齿健康热线0591-88681777咨询,贝臣齿科为您解答!

虫牙是如何形成的?
贝臣齿科医师表示,虫牙,一般是口腔内的细菌侵蚀牙齿的薄弱部位,导致牙齿表面出现牙洞,进而吃甜食发酸,疼痛;直至牙齿“神经发炎”,表现为剧烈的疼痛。一般每颗牙都有患龋齿的可能,久之会影响到咀嚼功能,妨碍消化。
虫牙与一般的牙病还不太一样,它的发病因素是比较复杂的,而且虫牙属于一种慢性疾病,病症是不会自己痊愈的,并会逐渐加重。
贝臣齿科医师介绍,虫牙,在临床上被称为龋齿,人们也叫它为蛀牙,是细菌性疾病。虫牙可以继发牙髓炎和根尖周炎,甚至能引起牙槽骨和颌骨炎症。如不及时治疗,病变继续发展,形成龋洞,终至牙冠完全破坏消失,其发展的终结果是牙齿丧失。
文字看累了?点击直接咨询医师吧!

虫牙的特点是发病率高,分布广。是口腔主要的常见病,也是人类普遍的疾病之一,世界卫生组织已将其与肿瘤和心血管疾病并列为人类三大重点防治疾病。
经过临床研究,虫牙形成的原因主要有四:包括细菌、口腔环境、宿主(即指寄生物包括寄生虫、病毒等寄生于其上的生物体)和时间。
虫牙形成的基本点为:致龋性食物糖(特别是蔗糖和精制碳水化合物)紧紧贴附于牙面,由唾液蛋白形成的获得性膜。这种获得性膜不仅得以牢固的附着于牙面,而且可以在适宜温度下,有足够的时间在菌斑深层产酸,侵袭牙齿,使之脱矿,并进而破坏有机质,产生龋洞。
治疗虫牙什么方法好?
很多家长总是骗小孩说,牙齿生虫子了,让孩子能好好地刷牙,不吃糖。贝臣齿科医师表示,虫牙是从小蛀斑发展而来的,不是真的有蛀虫或什么其他虫子,而是牙齿被逐渐腐蚀的结果。虫牙在严重情况下,会导致牙齿的坏死和脱落。虫牙也就是牙齿出现腐烂现象。其主要形成原因是牙菌斑。牙菌斑是牙齿表面的一层几乎无色的薄膜,含有造成龋齿的细菌。
虫牙治疗的方法,是需要根据虫牙的不同严重程度来进行治疗的。
贝臣齿科医师表示,虫牙的治疗需要根据实际虫牙的发展情况,不同阶段采用不同的治疗方案。

1、虫牙刚开始。患初期虫牙的部位发生在牙齿的珐琅质,不会有痛的感觉,而且牙齿表面通常是完整的,肉眼看不见有虫洞。牙齿邻面这部位的蛀牙就更难察觉。有时需照X-光片才能确定。牙科医生可以在患有初期虫牙的部位涂上高浓度的氟化物,令初期龋坏的部分还原。
2、牙蔓延至象牙质。牙齿出现蛀洞,进食时会感到牙齿疼痛。治疗方法:如果龋坏部分不大,牙齿还很坚固时进行补牙;如果龋坏的范围变得广泛,牙齿已很脆弱时,就需要进行烤瓷牙修复或全瓷牙修复了。
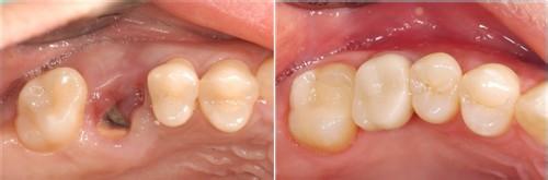
3、虫牙蔓延至牙髓。牙齿出现明显蛀洞,产生剧痛。牙髓有机会受细菌感染而坏死,细菌甚至会从牙髓经牙根部分扩散至附近的牙周组织,引致发炎或脓肿。治疗方法:牙髓治疗(杜牙根),如有需要,会配人造牙冠;如果牙科医生认为不适合进行牙髓治疗便需要脱牙。
贝臣齿科医师温馨提示
虫牙治疗的原则,不能轻易地拔牙,保留牙根是有很大的好处的。
如果出现虫牙牙洞的话,建议采用嵌体补牙的方案:用金属或其他材料制成与牙齿窝洞适合的修复体,镶嵌在洞内,称为嵌体;盖在合面的为盖嵌体。适用于:①后牙合面较大的窝洞或后牙有折裂可能者;②邻合面洞充填无法修复与邻牙的邻接关系者;③作为半固定桥基牙。
如果只是要进行治疗的话,建议采用根管治疗方案:根管治疗是目前保留牙根较好的办法。通过显微镜运用,医生在操作时可以做到精细的切割,并随时监控工作尖的部位、深牙本质的去处情况等,避免发生意外,使得医生能够较大限度地保护病人的口腔正常组织,达到较佳的审美效果。
还有不明白的,点击免费咨询,或者拨打24小时贝臣美牙热线0591-88681777咨询,贝臣齿科为您解答!
在线咨询(免费咨询)在线近距离