当发现自己的牙齿出现一些问题,比如龋齿或者是出现牙洞等等,一定要及时进行检查和治疗,以免牙齿出现的问题越来越大,对治疗加重困难,对自身的健康更是一种威胁。当然在想要进行治疗时一定要对口腔机构的选择慎重,的机构和有经验的医师对于牙齿修复是有效果保障的。
点击免费咨询,或者拨打24小时牙齿健康热线0591-88681777咨询,贝臣齿科为您解答!

补牙会不会产生疼痛感?
一、补牙一般是一般不会痛的,去补牙时医生都会在治疗期间为你打上麻药,基本上现在的医疗过程都可以确保的。关于补牙疼痛这个问题,与患者龋病的程度着极大的联系,早期的龋病只需一次性的填充治疗即可,当龋病发展到一定程度,涉及到了骨髓,那么在补牙治疗前需要进行根管治疗等相关操作,一方面加大了补牙的难度,同时补牙效果也一般没有早期的好。
二、另外与补牙的材料有关,目前常用的补牙充填材料虽对人体一般没有伤害,但对牙髓有一定的副作用,它会刺激牙髓,如龋洞太深时用护髓材料护髓,会因分离出某些物质刺激牙髓而发生疼痛,复合树脂对牙髓也有刺激作用,这些材料不能直接充填较深的龋洞,必须先用无刺激的材料垫上一层后再选用其他材料充填,否则就会导致充填后疼痛。
文字看累了?点击直接咨询医师吧!

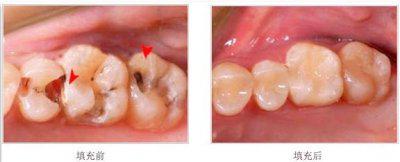
3M纳米树脂补牙—让牙重获健康
贝臣齿科拥有3M纳米树脂补牙材料,有别于传统的树脂,适合前牙和后牙龋齿的修复,边缘密合度高,具有杰出的抗压性、抗张性、持久性和耐磨性,即时牙齿在咀嚼硬物或受到摩擦时,也只是磨损一个纳米级的微小颗粒,而不会像传统补牙材料那样丢失一个较大的颗粒。另外,3M纳米树脂补牙材料具有杰出的抛光性和抛光保持性,色泽逼真自然、不变色、不退色,能很好的恢复牙齿的自然外形。
还有不明白的,点击免费咨询,或者拨打24小时贝臣美牙热线0591-88681777咨询,贝臣齿科为您解答!
在线咨询(免费咨询)在线近距离