怎样预防儿童地包天
来源:贝臣齿科
2014-11-17 11:23
进入医生答疑区

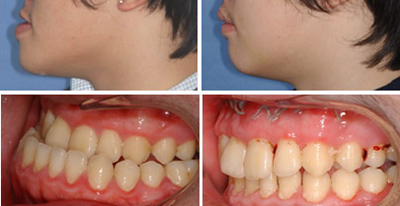
  地包天让一个孩子失去了童年应有的快乐,地包天让孩子饱受其他小朋友异样的眼光。那么,怎样预防儿童地包天?接下来就由贝臣齿科医生为您具体介绍一下吧。>>>点击免费咨询,或者拨打24小时牙齿健康热线0591-88681777咨询,贝臣齿科医生为您解答!
 


  怎样预防儿童地包天


  1、帮助孩子纠正不良的口腔习惯。


  2、鼓励母乳喂养。只能人工喂养的儿童吃奶的姿势应为侧卧,不要养成仰面吃奶的习惯。


  3、尽早去口腔科做检查,一旦发现问题就需要进行早期矫治。家长可用一长10cm、厚3mm宽于反颌门牙稍窄的小木板,一端放在反颌的上门牙内侧和下门牙切缘之间,用手握小木板的另一端,酌情用力下压,以小木板开始弯曲为度。每次练习20-30下,每天早、晚两次,一般2-3星期即可得到矫治。如无效可于四岁以后去牙科用口腔矫正器矫形。


  4、在幼儿时期接受,只需要简单的戴矫正器进行矫正就可以了。但是如果拖到成年还没有进行矫正,那的办法就只能进行手术来进行矫正了。>>>文字看累了?点击直接咨询医生吧!
 


  牙齿正畸“德国四维隐形矫正”


  隐形美观,自然舒适,无异物感,不影响日常工作和生活,德国四维隐形矫正,是现代口腔医学、计算机三维诊断、个性化设计及数字化成型的完美结合,是欧洲齿科材料的巅峰之作,实现牙齿矫正与脸部塑形的完美结合,让牙齿“悄然”变美。>>> 还有不明白的,点击免费咨询,或者拨打24小时贝臣美牙热线0591-88681777咨询,贝臣齿科医生为您解答!

温馨提示:
病情因人而异,以上信息仅供参考,请您一定到专业正规医院,接受医生的诊断与治疗。贝臣齿科提供网络咨询预约平台,可以向在线人员咨询您的情况。

在线咨询预约医生

在线咨询(免费咨询)在线近距离