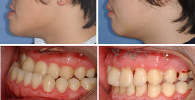
牙齿直接决定我们的面貌美观,特别是地包天,不仅影响美观,还有可能导致口腔病变。现在的牙齿矫正可以有效对我们出问题的牙齿进行矫正。医生指出:做完牙齿矫正以后的注意事项也不能忽视,了解这些注意事项可以让我们的矫正达到好的效果。>>>点击免费咨询,或者拨打24小时牙齿健康热线0591-88681777咨询,贝臣齿科医生为您解答!

地包天牙齿矫正后要注意下面六点:
1、去的口腔医院检查,一旦发现问题及早进行矫治。
2、在幼儿时期就接受简单的矫正器进行牙齿矫正。
3、家长可以用母乳喂养儿童,只是在进行人工喂养的幼儿在吃奶的姿势时要是侧卧,不要养成仰面吃奶的习惯。
4、家长应帮助幼儿纠正平时不良的口腔习惯。>>>文字看累了?点击直接咨询医生吧!
5、儿童矫正牙齿少吃零食。儿童矫正牙齿时,除了上述要注意的事项外,还要减少吃零食和糖果的数量,尤其是口香糖。因为口香糖黏着于矫正器上,难以清除。
6、在牙齿矫正期间,除了遵守医生的指示外,还要小心护理牙齿上的矫正器。>>> 还有不明白的,点击免费咨询,或者拨打24小时贝臣美牙热线0591-88681777咨询,贝臣齿科医生为您解答!
在线咨询(免费咨询)在线近距离