大家都希望拥有姣好的面容给别人留下一个好印象,尤其是牙齿,大家希望是整整齐齐的。可是总有天不遂人愿的事情发生。地包天就让这些成为我们的一个梦想。所以,地包天的矫正就变得很关键。那么,地包天几岁矫正效果好?接下来就由贝臣齿科医生为您答疑解惑吧。>>>点击免费咨询,或者拨打24小时牙齿健康热线0591-88681777咨询,贝臣齿科医生为您解答!

地包天几岁矫正效果好
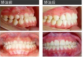
地包天矫正的年龄为4-6周岁,由于此时孩子的骨骼弹性较好,不易完全折断,但易于发生弯曲和变形,有利于地包天矫正手术的进行,纠正颌骨位置,恢复正常的咬合关系。同时地包天矫正的效果好,也理想。
小孩从现在开始到12岁左右换牙结束,有好几年的漫长时间,这个耽误的时间,足以让孩子的骨骼发育出现严重的畸形,那么等那个时候再做矫正,即使牙齿的反颌矫正了,面部骨骼的“反颌”畸形也已经确定形成了。所造成的遗憾是终身的。如果那个时候想纠正骨骼畸形的话,就得借助于口腔正颌外科手术了,手术的费用很高昂,而且也有一定的风险。
通过以上贝臣齿科医生的介绍,广大家长应该知道了,地包天矫正的年龄是宜早不宜迟,越早进行地包天牙齿矫正手术,所需要的时间也越短,效果也理想。>>>文字看累了?点击直接咨询医生吧!
牙齿正畸“德国四维隐形矫正”
隐形美观,自然舒适,无异物感,不影响日常工作和生活,德国四维隐形矫正,是现代口腔医学、计算机三维诊断、个性化设计及数字化成型的完美结合,是欧洲齿科材料的巅峰之作,实现牙齿矫正与脸部塑形的完美结合,让牙齿“悄然”变美。>>> 还有不明白的,点击免费咨询,或者拨打24小时贝臣美牙热线0591-88681777咨询,贝臣齿科医生为您解答!
在线咨询(免费咨询)在线近距离