随着牙科的不断更新发展,地包天矫正已经不再是什么难题了。可是地包天矫正要花多少钱,大家还是比较关注的。毕竟大家的经济实力有限。那么,地包天修复价格是多少?就由贝臣齿科医生为大家详细介绍一下吧。>>>点击免费咨询,或者拨打24小时牙齿健康热线0591-88681777咨询,贝臣齿科医生为您解答!

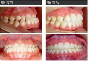
地包天修复价格是多少
第一、自身情况因素:因为每个人的牙齿是不一样的,矫正费用的问题要看个人牙齿的凸合程度,分轻,中,重度,因为每个人的情况有所区别。一般地包天越严重,其矫正难度越大,当然矫正费用就贵些。若不严重,矫正难度降低,当然价格相对便宜些。
第二、矫正方式因素:乳牙期或乳恒牙交替期个别牙齿轻度反牙合,可以在医生指导下使用活动矫治器进行治疗,多个牙反牙合或畸形较严重时,则需要正畸医生用固定矫正器进行矫治。真正需要外科手术治疗的牙齿反颌(地包天)非常少,一旦拖到畸形严重,就要做手术才能解决。手术和矫正器治疗地包天价格上会有很大差异。
第三、医院的选择因素:随着口腔行业的快速发展,口腔医院越来越多,而牙齿矫正医院不同,其规模、设备等各方面也不同。一般规模大、设备的口腔医院,矫正的效果及更有保障,当然所需矫正费用与小诊所肯定也会有有所区别的。>>>文字看累了?点击直接咨询医生吧!
四、所在地区因素:区域不同,物价水平不同,医疗水平也会有所不同,地包天矫正效果上会有差异,在国内,一、二线城市地包天矫正价格要明显比三线城市高。
美容修复“德国仿生美容冠”
美牙不拔牙,,时间短,坚固耐用,欧洲委员会首推荐突破传统烤瓷牙的各种弊端,强调牙齿的美容效果,采用德国 国内领先贴面等,对形态、结构、排列或者颜色等异常牙体,无需拔牙就可达到修复牙体和美白的双重功效,美牙终身有保障。>>> 还有不明白的,点击免费咨询,或者拨打24小时贝臣美牙热线0591-88681777咨询,贝臣齿科医生为您解答!
在线咨询(免费咨询)在线近距离