在就诊的过程中,我们一般会听到医生这样说:地包天矫正越早越好。那么,儿童何时矫正地包天效果好?接下来就由贝臣齿科医生为大家详细介绍一下吧。>>>点击免费咨询,或者拨打24小时牙齿健康热线0591-88681777咨询,贝臣齿科医生为您解答!

儿童何时矫正地包天效果好
医学上对反颌的矫正原则是尽可能及早消除病因,早期矫治,可收到良好的矫治效果,并可防止畸形向严重发展。个别牙轻度的反颌可在医生的指导下,家长自行进行治疗。
多个牙反颌或畸形较严重时,则需要牙科医生用特殊的矫正器进行矫治。许多前牙反颌可单纯经过牙科医生进行矫治而恢复正常的咬颌功能和颜面的美观。
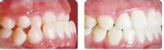
乳牙反颌轻度的可暂时不矫治,待乳牙脱落替换恒牙时,有的反颌畸形能自行矫正过来。而重度、显著的乳牙反颌,在4周岁时进行治疗为好。
替换牙期和恒牙早期,颌面部生长发育旺盛,反颌畸形如及时得到矫正,可收到事半功倍的效果,并能及时阻断颌骨的异常生长发育,是矫治反颌的关键时期。一般年龄在8-12岁。否则只好通过拔少牙齿矫治或正颌外科手术治疗,才能取得好的效果。>>>文字看累了?点击直接咨询医生吧!
牙齿正畸“德国四维隐形矫正”
隐形美观,自然舒适,无异物感,不影响日常工作和生活,德国四维隐形矫正,是现代口腔医学、计算机三维诊断、个性化设计及数字化成型的完美结合,是欧洲齿科材料的巅峰之作,实现牙齿矫正与脸部塑形的完美结合,让牙齿“悄然”变美。>>> 还有不明白的,点击免费咨询,或者拨打24小时贝臣美牙热线0591-88681777咨询,贝臣齿科医生为您解答!
在线咨询(免费咨询)在线近距离