地包天是临床上常见的一种畸形牙齿,不少患者出现地包天后,就开始对地包天十分关注。那么,哪些习惯会导致地包天?贝臣齿科医师指出:日程生活中的不良习惯也会导致地包天出现,接下来就由贝臣齿科医师为大家详细介绍一下吧。>>>点击免费咨询,或者拨打24小时牙齿健康热线0591-88681777咨询,贝臣齿科为您解答!

哪些习惯会导致地包天
吮指习惯:吮指活动是婴幼儿初学会神经反射的一种行为,正常儿童几乎都有吮指习惯。一般认为,3岁前有此习惯可视为正常的生理活动,通常在4~6岁逐渐减少或消失。如在此后仍有吮指习惯并有一定强度的话,就会导致明显的错牙合、畸形。
伸舌习惯:在乳牙和恒牙替换时,许多儿童经常用舌尖舔松动的乳牙、乳牙残根或刚刚长出的恒牙,久而久之,就养成了吐舌或舔牙的习惯,造成开牙合或双颌前突,后者表现为上下牙往外支,俗称“龅牙”。
咬唇习惯:这一习惯大多发生在6~15岁之间,开始常因孩子情绪不好,出现咬唇动作,日久形成习惯,女孩较多见。咬唇习惯可单独存在,也可伴有吮指习惯。其中,咬上唇习惯可形成上前牙倾斜、下颌前突、下牙前突。>>>文字看累了?点击直接咨询医师吧!
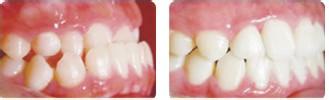
牙齿正畸选“德国四维隐形矫正”
隐形美观,自然舒适,无异物感,不影响日常工作和生活,德国四维隐形矫正,是现代口腔医学、计算机三维诊断、个性化设计及数字化成型的结合,实现牙齿矫正与脸部塑形的结合,让牙齿“悄然”变美。>>> 还有不明白的,点击免费咨询,或者拨打24小时贝臣美牙热线0591-88681777咨询,贝臣齿科为您解答!
在线咨询(免费咨询)在线近距离