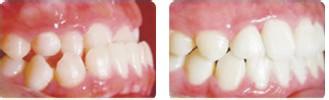
父母大的心愿就是希望孩子能够健康成长,其中也包括拥有一口洁白健康的牙齿。可是不少小孩牙齿由于父母没有在意而出现了地包天的情况。那么,小孩有地包天要怎样矫正?接下来就请贝臣齿科医师为您介绍下吧。>>>点击免费咨询,或者拨打24小时牙齿健康热线0591-88681777咨询,贝臣齿科为您解答!

小孩有地包天要怎样矫正
1、乳尖牙调合、咬翘法:适用于由于乳尖牙磨耗不足或个别牙合干扰造成的前牙反合,通常在消除合干扰后,前牙反合会自行纠正。
2、上颌前方牵引装置:牵拉上颌骨,适合于生长发育高峰期前上颌发育不足的儿童。
3、去除不良习惯:造成乳牙反牙合常见的口腔不良习惯有前伸下颌、咬上唇。
4、下颌联冠斜面导板:乳牙深反覆合患者,可采用下颌联冠斜面导板矫治器。>>>文字看累了?点击直接咨询医师吧!
5、上颌舌簧活动矫治器:是通过唇向移动舌倾的上前牙或个别牙,去除咬合干扰,解除前牙反合,吃饭时必须戴用。
6、局部固定矫治器:替牙早期个别前牙反合可能导致咬合创伤,可采用局部固定矫治器,唇向倾斜上前牙,舌向移动下前牙,消除咬合干扰并解除幼儿地包天牙齿。
牙齿正畸选“德国四维隐形矫正”
隐形美观,自然舒适,无异物感,不影响日常工作和生活,德国四维隐形矫正,是现代口腔医学、计算机三维诊断、个性化设计及数字化成型的结合,实现牙齿矫正与脸部塑形的结合,让牙齿“悄然”变美。>>> 还有不明白的,点击免费咨询,或者拨打24小时贝臣美牙热线0591-88681777咨询,贝臣齿科为您解答!
在线咨询(免费咨询)在线近距离