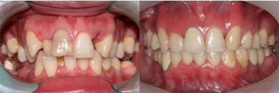
牙齿是我们展示自身的美的道风景线,当上下牙齿咬合时,原本应是上前牙咬在下前牙的外面,然而,若相反的话,下前牙咬在上前牙的外面,这就是我们常说的“地包天”了。一旦患上了地包天,对我们个人形象的影响是非常巨大的,很多朋友都希望及时进行矫正。

贝臣齿科医师介绍,地包天矫正的价格是不固定的,每个人所需的费用都不一样,受到很多不同的因素的影响而有高有低,是因人而异的。其中,主要因素有以下几个:
1、患者的自身情况:
每位患者的牙齿地包天的严重程度不同,好的医师会结合患者的自身条件,定制较适合的矫正方法,每种方法的难易程度不同,地包天矫正的价格自然就会有所不同。
2、求美者选择的矫正方法:矫正地包天的方法有很多,您可根据自身的条件选择较适合自己的矫正方法,所以地包天矫正的价格也是有所区别的。
3、求美者所选择的医院环境:
地包天矫正的要求是比较精细的,它的与否以及术后的效果,关键在于地包天矫正医师是否具备精湛的矫治和独特审美观,以及地包天矫正医院是否拥有完善的设备、医院的资质,这一系列因素都直接影响了地包天的矫正价格。
在线咨询(免费咨询)在线近距离