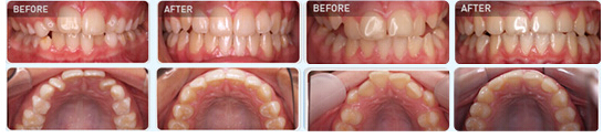
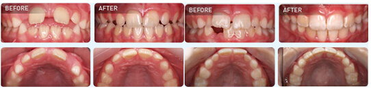
贝臣齿科医师指出:牙齿矫正的费用在很大程度上取决患者牙齿的畸形程度。这点儿童、成人都是一样的,畸形越严重,病情越复杂,终的花费必然越高。一些症状较轻的患者,脸型外貌及牙齿的咬合关系都比较好,只是个别的几颗牙齿存在些许拥挤。此类情况不但矫正费用便宜,疗程也相对较短,几个月就能见到明显变化。
贝臣齿科:选贵的不如选对的!
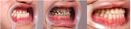
矫正器的种类繁多,各有优劣,价格也不尽相同。一般来说,传统金属矫治器是经济的选择,也是被多人使用的矫正器。而隐形矫治器应该属于目前所有主流矫正器里单价较高的。但它戴起来轻松舒适,能矫正牙齿于无形,价格自然会比起其他矫正器要来的高。

医师支招:如何减少牙齿矫正的费用?
1、选择的齿科医院:正畸治疗具有一定程度的不可逆性,不像配眼镜,一副不合适可以再做一副。尤其对于那些拔牙病例,一旦矫治失败,再次治疗成功的难度很大。 因此患者一定要选择好的医院进行矫正,在短时间内,花费少的精力和金钱,获得治疗。贝臣齿科坐拥中医师团,累积了上万例成功案例。既有针对东方人口腔环境、牙齿、牙骨特性精研的正畸,又有可实现7天快速矫正的仿生美牙冠。由中顶尖正畸医师亲自操刀,完全依据正畸者进行个性化设计,既方便舒适又能保证完美的矫治效果。


2、严格执行医嘱、按时复诊:牙齿矫正可以是说一半靠医生,一半靠自己。正畸疗程一般都要1—2年,甚至更久。患者一定要有足够的耐心和信心。按时复诊、注意饮食的选择以及自觉佩戴相关装置的患者往往都能很顺利的在预期时间内完成治疗,恢复牙齿齐整。反之,无疑会耽误计划的实施,延长矫治的周期。牙齿长时期处于动荡状态,尤其是来回移动,会增加牙齿松动,牙根吸收的风险。不但会增加矫正费用,还会对牙齿造成不可逆的伤害。

温馨提示:由于每个人的牙齿情况不一样,矫治器的材料也有多样,以上问题并不能够针对所有情况做出精准回答。 您可以选择在线将自己的牙齿情况上传至贝臣齿科咨询中心,或者直接在线与医师沟通,从而获取针对您牙齿问题的个性化治疗方案。
在线咨询(免费咨询)在线近距离