地包天怎么治疗
来源:贝臣齿科
2018-08-16 15:39
进入医生答疑区

  什么是地包天?
 

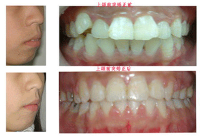
  所谓“地包天”是指上、下牙齿闭合时,下牙突出于上牙而造成的口腔颌面畸形,在医学上也把地包天称为兜齿或前牙反颌。
 



 地包天做矫正多少钱在线咨询

  地包天严重吗?
 

  我们知道,正常人的牙齿当上下牙齿咬合时,一般是上前牙咬在下前牙的外面,可是我们在日常生活中却经常看到有些人的下前牙反把上前牙包咬在里面,就像下面的地反而把上面的天包围了一般,这其实是一种牙齿疾病,医学上被称为“反颌”或“兜齿”。这种疾病我国儿童发病率高达51.84%~72.92﹪,是一种危害极大的错颌畸形。
 

  地包天牙齿矫正时间?
 

  对于儿童地包天,治疗年龄是3岁,因为地包天会影响到颌面的发育,所以是越早治疗越好。如果儿童错过了矫正时间,青少年甚至是成人也同样可以矫正,只要医师根据错颌畸形的类型和孩子个体生长发育的情况量身定制矫正方案,一样可以有效利用颌面的生长发育潜力,使牙齿改建达到更佳的效果的。
 



  儿童地包天做矫正年龄在线咨询
 

  地包天牙齿怎么矫正?
 

  1、普通正畸
 

  佩戴矫治器是常用的正畸方式,金属托槽粘接于牙齿表面,通过调整钢丝的弯曲度给牙列加生物力,缓慢向矫正目标拉伸牙齿,达到正畸目的。
 

  2、隐形正畸
 

  隐形正畸开创了无托槽正畸的先例,根据正畸方案,运用电脑三维设计,制作全透明的牙套,患者摘戴方便,佩戴起来近距离面对面也看不出,美观隐形。
 



  隐形正畸多少钱在线咨询

  3、快速正畸
 

  很多人不愿意选择正畸,而希望更快的解决牙齿不齐,其实这个想法是误区,随着口腔医疗的发展,出现了很多快速的正畸,比如自锁快速正畸和美容冠正畸,都可以让您的牙齿快速矫正,但美容冠正畸的局限性是有限的。

温馨提示:
病情因人而异,以上信息仅供参考,请您一定到专业正规医院,接受医生的诊断与治疗。贝臣齿科提供网络咨询预约平台,可以向在线人员咨询您的情况。

在线咨询预约医生

在线咨询(免费咨询)在线近距离