地包天整形多少钱
来源:贝臣齿科
2016-12-16 14:51
进入医生答疑区

  想要具体了解地包天整形多少钱 点击【在线咨询】直接问医生!方便!快捷!地包天,学名反牙合,是一种常见的牙齿畸形,地包天不但影响面部轮廓,而且影响进食及语言。随着颅颌面外科术的发展和牙齿矫正术的不断完善改进,通过手术的方法对因骨骼发育造成的外科正牙反颌畸形矫正进行治疗,可收到良好的手术效果,那么,地包天整形多少钱?直接与医院在线医师一对一通话,方便!快捷!了解详情就医指导。
 


 

  为何地包天需要“端正”?
 

  地包天,往往影响一个人的容貌和气质,因为它而“羞于启齿”“金口难开”,笑起来总是遮遮掩掩,极不自然,在求职、相亲、竞选中白白错失了许多良机,而口腔医生表示,地包天不仅仅是影响美观而已,多数地包天患者的上下前牙不能对咬,不能行使切咬功能,下颌位置异常,咀嚼功能降下,造成牙齿的不正常消耗,加重了胃肠功能的负担,长此以往,将会形成消化系统慢性疾病。
 

  地包天整形多少钱,医生介绍到,地包天整形的价格受多种因素的影响,价格上没有一个统一的数字,不同的地包天患者具体情况不同,其治疗的方案也不同,价格自然是因人而异,此外,地包天整形多少钱还和当地消费水平、医院医资水平、治疗难度等息息相关,通常在一线城市的三甲医院收费都会高于其他地区水平。点这里,直接预约医生!方便快捷!
 

  地包天的年龄为4-6岁,这个时期全身及面颌部生长发育速度快,潜力大,如果在这个时期通过牙齿正畸的方式,使用简单的矫正器在一两个月内就能奏效,价格也会便宜一些。
 

  错过了年龄的成年人也是可以通过牙齿正畸来矫正地包天的,只是成人的牙槽骨发育已经定型,移动起来的速度会比较慢,正畸时间也会长一些,因此价格相比之下也会高一些。因此由于年龄的原因,成人好选择适合成年人的矫正方式。
 


 

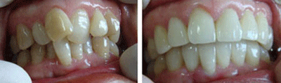
  成年人地包天整形优选—美牙冠,当天改变一生
 

  贝臣齿科采用的德国美牙冠,是目前流行于欧美、日韩的一项新兴的牙齿矫正术,,它专门针对成人的畸形牙,在临床冠部分施以专业手段,后用美牙冠加以矫正修复,具有无需拔牙、不带牙套、全程微痛、坚固耐用、多年后牙龈不会出现黑线等优点,从而达到终生有保障的美牙效果。
 

  美牙冠在不损伤牙齿、牙龈的前提下根据牙槽骨的形态对牙齿做修整。首先是根据牙患者的牙症、肤色、脸型、职业等方面设计个性化的美牙方案,然后对牙齿有问题的部分采用医学牙釉质进行修复,后在原牙外包以整齐洁白的美牙冠,保护原牙,一口整齐亮白的牙齿即可轻松拥有。 还有不明白的,点击免费咨询,或者拨打24小时贝臣美牙热线0591-88681777咨询,贝臣齿科医生为您解答!

温馨提示:
病情因人而异,以上信息仅供参考,请您一定到专业正规医院,接受医生的诊断与治疗。贝臣齿科提供网络咨询预约平台,可以向在线人员咨询您的情况。

在线咨询预约医生

在线咨询(免费咨询)在线近距离