福州地包天矫正要多少钱
来源:贝臣齿科
2016-12-23 14:23
进入医生答疑区

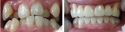
  想要具体了解什么时候做牙齿矫正好 点击【在线咨询】直接问医生!方便!快捷!牙齿地包天可以说是生活中常见的牙齿畸形,很多人因为地包天畸形自信心受到了很大的打击,受到了别人的冷落。现在有了地包天矫正术,那些地包天患者看到了希望,地包天矫正的价格是人们关心的,今天我们就来看看福州地区地包天矫正要多少钱?
 

  贝臣齿科医生在说地包天矫正多少钱很难给出具体数字,它要根据患者的自身情况和所选矫正方法来决定地包天矫正多少钱。影响地包天价格的因素与很多,比如说患者的年纪关系到矫正时间的长短,矫正术的选取,患者所在地区的经济水平。直接与医院在线医师一对一通话,方便!快捷!了解详情就医指导。
 


 

  与患者选择的矫正方法有关:贝臣齿科医生介绍地包天矫正方法有普通矫正、隐形矫正、美牙冠术,患者选择的方法不同其治疗费用也不同。
 

  与患者的口腔情况有关:有的患者牙齿有无龋齿、牙周病等一些口腔疾病,需要将这些牙齿疾病治好才能矫正,不然会影响地包天矫正效果。地包天矫正的前期治疗包括检查、拍X光片、设计、分牙、粘托槽,有的可能需要拔牙。点这里,直接预约医生!方便快捷!
 

  与患者选择的医生水平有关:地包天矫正医生不仅要精通口腔的治疗,也要有较强的审美理念,要有正确的设计以及与精湛的实力密切配合。口腔术水平跟刚毕业的实习医生肯定不能比的,地包天价格自然要高。
 

  与患者所在地区的经济水平有关,不同地区经济发展程度不同,消费水平也不一样,因此,地包天矫正费用也就存在差异。
 


 

  对于福州地包天矫正多少钱,贝臣齿科建议在合适的年纪矫正价格低效果也好。儿童地包天要做到早发现早治疗,以免到后发展成严重的骨性地包天,这种地包天就需要通过外科手术的方法进行治疗,给自己小孩带来痛苦手术费用也会更高。 还有不明白的,点击免费咨询,或者拨打24小时贝臣美牙热线0591-88681777咨询,贝臣齿科医生为您解答!

温馨提示:
病情因人而异,以上信息仅供参考,请您一定到专业正规医院,接受医生的诊断与治疗。贝臣齿科提供网络咨询预约平台,可以向在线人员咨询您的情况。

在线咨询预约医生

在线咨询(免费咨询)在线近距离