哪些原因造成牙齿发黄
来源:贝臣齿科
2016-11-30 14:44
进入医生答疑区

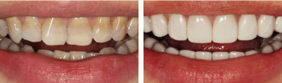
  想要具体了解哪些原因造成牙齿发黄 点击【在线咨询】直接问医生!方便!快捷!在当今社会中,牙齿美白已经属于一种时尚,很多朋友特别是女性朋友特别在乎自己的外在情况,所以都非常追求牙齿的美白,但是由于大家在生活中的一些小习惯造成了牙齿发黄的情况,所以很多人都想知道造成牙齿发黄的具体原因。直接与医院在线医师一对一通话,方便!快捷!了解详情就医指导。
 


 

  医生指出:一般造成牙齿变黄的常见原因就是四环素牙、氟斑牙、喝咖啡、抽烟等等都是造成牙齿发黄的主要因素,现在医生将为大家逐一进行讲解,希望对大家能有所帮助。
 

  造成牙齿发黄的原因?四环素牙主要是由于在小时候服用过含有四环素的药物,随着药物的沉淀,四环素药物的一些色素滞留在牙齿的内部,伴随着色素长时间的滞留在牙齿内部越积越多,后形成了四环素牙,进而牙齿出现发黄的情况。
 

  造成牙齿发黄的原因? 氟斑牙一般都是由于食用了含氟元素过量的水物质所产生的后遗症,在我国有些地方的水物质在含氟的元素是非常过量的,假如大家长时间喝含氟过量的水那么就会形成氟斑牙,如果一个地方的水资源含氟过量的话,那么当地人绝大部分都是患有氟斑牙,氟斑牙的着色情况也是发黄,所以牙齿呈现出来的颜色是黄色的,所以造成了牙齿发黄的情况。点这里,直接预约医生!方便快捷!
 


 

  造成牙齿发黄的原因?另一种情况就是小儿在牙齿发育钙化期患了比较严重的全身疾病,病程比较长影响了全身营养代谢功能,也可影响牙齿釉质发育不全和钙化不良,它的特点是表面釉质失去光泽、不透明,呈黄褐色,所以外人看到时候牙齿就是出现发黄的情况。
 

  温馨提示:造成牙齿发黄的情况是有很多因素的,牙齿变黄的后天因素主要有抽烟、饮浓茶、喝咖啡,食用某些食物所造成的,如果您还有什么疑问,可以点击医生在线咨询,医生将为您进行一个详细解答。 还有不明白的,点击免费咨询,或者拨打24小时贝臣美牙热线0591-88681777咨询,贝臣齿科医生为您解答!

温馨提示:
病情因人而异,以上信息仅供参考,请您一定到专业正规医院,接受医生的诊断与治疗。贝臣齿科提供网络咨询预约平台,可以向在线医生咨询您的情况。

在线咨询预约医生

在线咨询(免费咨询)在线近距离