想要具体了解天生黄牙怎么变白?
点击【在线咨询】直接问医生!方便!快捷!天生黄牙顾名思义就是由于先天遗传因素导致的,而一般导致黄牙除了与遗传有关之外,抽烟、氟斑牙以及四环 素牙都是导致牙黄的原因,严重影响牙齿美观,甚至影响整个人的形象和气质。那么不管是天生还是后天造成的黄牙要怎么美白才有效果呢?

下面我们首先来带大家了解黄牙给大家的外表及口腔造成的危害:
1、会影响外在形象。外因性色素牙患者一笑就会显露一口外因性色素牙,好的牙齿美白方法可以极大的改善外在形象,同时也会让自己加倍的自信,笑对每一天。
2、会影响心理及身体健康。正如我们但愿获得四周的人喜好、尊敬和有涵养一样,总是希望自己可以显示出气质的一面。如果牙齿不够好看,不仅让自己产生自卑的心理,还有让自己的事业婚姻不如愿,甚至不能拥有积极的心态。
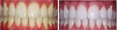
天生黄牙的风险多多,因此我们该当及早诊治天生黄牙,贝臣齿科向大家推荐冷光美白术是一项正流行于欧美的新兴的牙齿美白术,它将高强度冷光定点照射,它不仅可以去除牙齿表面的色素沉积,及深层所附着的色素,美白效果持久有效,仅需短短的30分钟,即可让您拥有一口润白亮泽的牙齿。
直接与医院在线医师一对一通话,方便!快捷!了解详情就医指导。
之所以向大家推荐冷光美白,因为它有三大优势是其他美白技术所不可比拟的。
效果明显-可靠
冷光美白术是采用先进的冷光(蓝光)照射术,它将高强度冷光定点照射,去除牙齿表面及深层所附着的色素,使牙齿回到未经染色前的洁白。
安全美白-安全
冷光美白采用物理还原原理,对于口腔组织非常安全,操作过程不接触牙龈,所以完全避免了操作过程中对牙神经的损害,同时对牙齿结构不会造成任何损害。
冷光美白-仅需30分钟
一次治疗可以使全口16-20颗牙齿提高5-14个VITA色阶,平均提升8个VITA色阶以上,并使治疗后的牙齿具有自然的光泽!美白效果可持续5年以上。
在线咨询(免费咨询)在线近距离