想要具体了解形成牙齿发黄的病因?
点击【在线咨询】直接问医生!方便!快捷!牙齿发黄大大的影响了我们的日常交际活动,会让我们开心时无法畅快大笑,当与他人交谈时露出一口黄牙会让我们处于一种非常尴尬的位置,所以去除黄牙是一件非常重要的事情。
医生点评:
点这里,直接预约医生!方便快捷!
想要去除黄牙首先我们必须了解造成黄牙的原因,然后对症治疗,在生活中造成黄牙的因素有很多,如:喝茶、饮用了含氟元素的水资源等等都是会造成牙齿发黄的,所以现在就跟医生一起去进行详细的了解吧。

形成牙齿变黄的病因
1.喝茶:茶叶中有大量多酚类氧化物,长期饮茶,会让牙齿变黄。研究发现,红茶中的茶多酚氧化物高,黑茶其次,普洱茶、大麦茶中多酚氧化物含量低,你可以放心饮用!另外,煮茶叶时间越长,氧化物的作用性就越低,为了保证自己有一口白牙,你可以适当延长煮茶时间!
2.氟元素的水资源:氟一方面可增加牙齿釉质,使其更坚固,另一方面还会使牙齿渐渐变黄。矿泉水中含有大量氟元素,喝得太多,会让你的一口白牙失色,医生的建议是:每人每天少喝1000毫升白水,其中矿泉水的摄入量不要超过300毫升,剩下700毫升,可以喝纯净水或烧开的自来水。
直接与医院在线医师一对一通话,方便!快捷!了解详情就医指导。
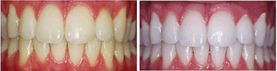
治疗牙齿发黄的方法:
贝臣齿科引进的“冷光美白术”是一项正流行于欧美的新兴的牙齿美白术,它将高强度冷光定点照射,它不仅可以去除牙齿表面的色素沉积,及深层所附着的色素,美白效果持久有效,仅需短短的30分钟,即可让您拥有一口润白亮泽的牙齿。具有持久、自然、快速、专业、安全等五大优势。
还有不明白的,点击免费咨询,或者拨打24小时贝臣美牙热线0591-88681777咨询,贝臣齿科医生为您解答!
在线咨询(免费咨询)在线近距离