青少年黄牙是什么原因造成的
来源:贝臣齿科
2016-11-30 15:05
进入医生答疑区

  想要具体了解青少年黄牙是什么原因造成的 点击【在线咨询】直接问医生!方便!快捷!青少年黄牙,小小年纪出现黄牙,可真是不好看。黄牙是一种色素牙,在成年人中比较常见,大多是因为抽烟和不良的生活习惯所导致,但是现在很多青少年也有黄牙,是什么原因造成的呢?
 

  黄牙即是牙齿发黄,形成的原因有三种:第一种是斑釉牙,又称为氟斑牙,为饮水中氟元素浓度过高所致。当氟浓度超过百万分之一时,就会影响牙胚的钙化过程,牙齿表面发黄,凹凸不平,出现点状或条状凹陷性缺损。斑釉牙常发生于5岁前牙齿发育钙化时。第二种是四环素牙,为儿童时期经常服用四环素所致。它在体内与钙质相结合,生成一种四环素钙的黄色复合物,沉积于牙冠上。第三种是吸烟,烟草中的黄色物质沾附于牙齿上所致。直接与医院在线医师一对一通话,方便!快捷!了解详情就医指导。
 


 

  青少年黄牙是因为什么导致的?点这里,直接预约医生!方便快捷!
 

  药物因素。现在大都数人都知道了四环素类药物可导致黄牙的发生,特别是在儿童(5岁前)服用影响更大。
 

  水质的因素。有些地区,特别是有些山区,由于水中含氟量高,过多的饮用氟牙齿会发黄,而且不是1-2个牙齿,是满口大黄牙。氟有防龋的作用,所以这些人反而不易生龋齿(蛀牙)。
 

  卫生习惯。有些人不注意口腔卫生,没有刷牙习惯,牙齿的表面堆积一层食物残渣、软垢、牙石、烟渍、茶渍等。这些“黄牙”不是牙齿本身发黄,是不注意口腔卫生造成的。
 

  健康因素。牙齿在发育过程中由于营养不好或生过病,会使牙齿的钙化受到影响,牙齿会黄而松脆。
 


 

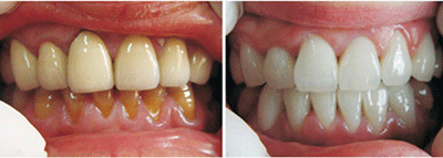
  【推荐——冷光美白术】
 

  冷光美白术是一项正流行于欧美的新兴的牙齿美白术,它将高强度冷光定点照射,它不仅可以去除牙齿表面的色素沉积,及深层所附着的色素,美白效果持久有效,仅需短短的30分钟,即可让您拥有一口润白亮泽的牙齿。 还有不明白的,点击免费咨询,或者拨打24小时贝臣美牙热线0591-88681777咨询,贝臣齿科医生为您解答!

温馨提示:
病情因人而异,以上信息仅供参考,请您一定到专业正规医院,接受医生的诊断与治疗。贝臣齿科提供网络咨询预约平台,可以向在线医生咨询您的情况。

在线咨询预约医生

在线咨询(免费咨询)在线近距离